TRADIÇÃO Precisão e Confiança em Próteses Dentárias

Missão

Oferecer soluções laboratoriais odontológicas com precisão, qualidade e confiabilidade

Visão

Ser referência regional em laboratório odontológico pela confiabilidade e alto padrão técnico.

Valores

Precisão, foco, parceria, qualidade, ética e evolução contínua.

Sobre o Laboratório

Excelência que constrói sorrisos perfeitos

O ATM Lopes é um laboratório de prótese dentária fundado há mais de 25 anos, com o compromisso de oferecer soluções protéticas de alta qualidade para dentistas e clínicas odontológicas em todo o país.

Como Trabalhamos

Processo simplificado e eficiente

Do recebimento à entrega, cada etapa é executada com rigor técnico e atenção aos detalhes para garantir a excelência do resultado.

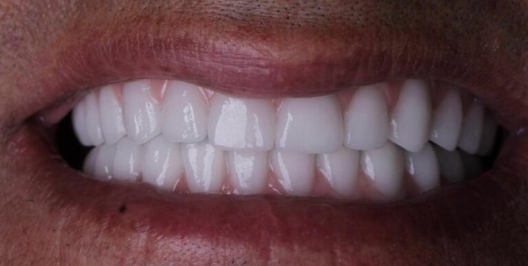
After
Before

Vamos trabalhar juntos?

  • Recebimento

    Recebemos seu molde ou escaneamento digital com toda a documentação do caso.

  • Análise Técnica

    Nossa equipe analisa o caso e define o melhor protocolo de fabricação.

  • Confecção

    Fabricação com tecnologia de ponta e materiais certificados de alta qualidade.

  • Entrega

    Envio seguro e rastreado dentro do prazo acordado para todo o Brasil.

Novo por aqui?

Agende uma conversa e descubra como podemos te ajudar!

Contato

Contato

© 2026 ATM Lopes Laboratório de Prótese Dentária. Todos os direitos reservados.© 2026 Created with Royal Elementor Addons